Oclusograma digital

Oclusograma digital como ferramenta auxiliar no planejamento de casos clínicos complexos

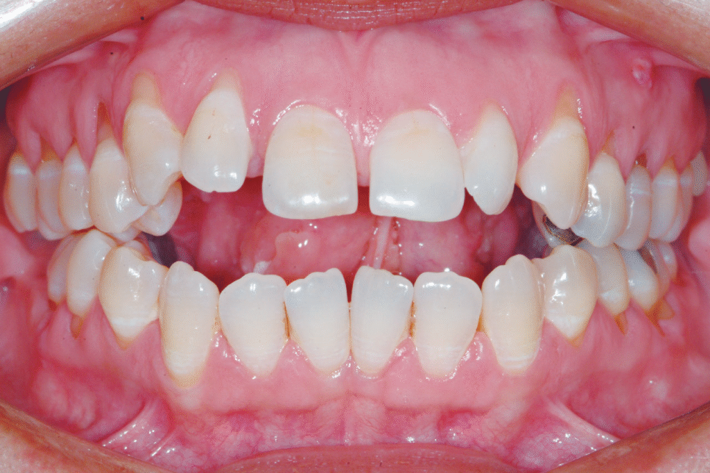
Por meio do relato de um caso clínico, o artigo demonstra a aplicabilidade do oclusograma digital no planejamento ortodôntico, com a possibilidade de maior previsibilidade de resultados.

AUTORES

Luciana Porto Ferreira Cotta
Mestra em Ortodontia – Uniara; Professora do curso de especialização em Ortodontia – APCD Araraquara.
Orcid: 0000-0002-2174-7512.

Nadia Lunardi
Mestra em Ortodontia, doutora em Materiais Dentários e pós-doutorado em Dentística – Unicamp; Professora do curso de Odontologia – Uniara.
Orcid: 0000-0002-4433-2934.

Caio Sérgio Botta Martins de Oliveira
Especialista em Ortodontia e professor do curso de especialização em Ortodontia – APCD Araraquara.
Orcid: 0000-0002-2026-1211.

Maurício Tatsuei Sakima
Mestre e doutor em Ortodontia – Foar-Unesp; Pós-doutorado em Ortodontia no Depto. de Ortodontia – Royal Dental College University of Aarhus; Coordenador do curso de especialização em Ortodontia – APCD Araraquara.
Orcid: 0000-0002-7941-565X.

Angelo Vicentini Loiola
Mestre em Ortodontia – SLMandic, Professor do curso de especialização em Ortodontia – APCD Araraquara.
Orcid: 0000-0002-2174-7512.

Acácio Fuziy
Doutor e pós-doutorado em Ortodontia – FOB-USP; Coordenador do curso de especialização em Ortodontia – Orocentro Itapetininga e CEO-Marília.
Orcid: 0000-0002-2725-8912.

RESUMO

O grande desafio da Ortodontia consiste em equilibrar o planejamento das modificações dentárias, cefalométricas e faciais. A Ortodontia, de maneira geral, faz uso de análises bidimensionais e modelos de estudo para a definição do plano de tratamento. Contudo, alterações produzidas pelo tratamento são tridimensionais, sendo necessária a planificação com previsibilidade das alterações dentofaciais nos três planos do espaço. Nesse contexto, torna-se necessária uma ferramenta que permita o planejamento tridimensional, facilitando a comunicação interdisciplinar, permitindo maior precisão de diagnóstico e previsibilidade de resultados. O oclusograma digital se destaca pela precisão nas simulações de diferentes opções de tratamento, por proporcionar a visão tridimensional dos arcos finais e dos modelos, além da facilidade de execução e acessibilidade. Este artigo objetivou, por meio do relato de um caso clínico, demonstrar a aplicabilidade deste programa no planejamento ortodôntico, com a possibilidade de maior previsibilidade de resultados. Concluiu-se que o oclusograma digital é uma nova ferramenta disponível para o planejamento de casos clínicos e, além de ajudar na definição da direção a ser seguida no tratamento ortodôntico, facilita a comunicação entre o ortodontista e outros especialistas envolvidos no tratamento dos pacientes.

Palavras-chave – Comunicação interdisciplinar; Software; Ortodontia corretiva.

ABSTRACT

The great challenge of Orthodontics is to balance the planning of dental, cephalometric and facial modifications. Orthodontics generally makes use of two-dimensional analyzes and study models for the definition of the treatment plan. However, changes produced by the treatment are three-dimensional and a predictive planning of dentofacial changes is necessary in the three space planes. In this context, it is necessary a tool that allows three-dimensional planning, facilitating interdisciplinary communication, allowing greater accuracy of diagnosis and predictability of results. The digital occlusogram stands out for presenting precision in the simulations of different treatment options, a three-dimensional view of the final dental arches and plaster study models, besides easy execution and accessibility. This article aims to report one clinical case to demonstrate the applicability of this program in orthodontic planning, with possibility of greater predictability of results. It is concluded that the digital oclusogram is a new tool available for the planning of complex cases that, besides helping to define the direction to be followed in orthodontic treatment, facilitates communication between the orthodontist, other specialists involved in the treatment and patients.

Key words – Interdisciplinary communication; Software; Orthodontic appliance design.

Facebook
Twitter
LinkedIn
Telegram